Длинные сгибатели пальцев и стопы. Длинные разгибатель и сгибатель большого пальца стопы Симптомы повреждения сухожилия длинного сгибателя большого пальца стопы
Длинный сгибатель большого пальца расположен глубоко под икроножной и камбаловидной мышцами и
прикрывает заднюю большеберцовую мышцу. Мышца расположена латерально на задней поверхности
голени. Мышечное брюшко крепится к задней поверхности малоберцовой кости, присоединяясь к задней большеберцовой мышце и длинному сгибателю пальцев прямо за медиальной лодыжкой.
Эти мышцы проходят через предплюсневый канал, образованный медиальной поверхностью пяточной кости и фиброзной пластинкой удерживателя сухожилий сгибателей. По строению и выполняемым функциям эта структура идентично запястному каналу. Через предплюсневый канал также проходят большеберцовая артерия и большеберцовый нерв.
Длинный сгибатель большого пальца, длинный сгибатель пальцев и задняя большеберцовая мышца производят инверсию стопы и плантарфлексию лодыжки. Кроме того, длинный сгибатель большого пальца осуществляет сгибание большого пальца в плюснефаланговом и межфаланговом суставах. Это движение необходимо в фазе отталкивания при ходьбе для эффективной передачи энергии. Центр тяжести смещается с пятки через стопу на большой палец в конце фазы опоры и энергия, которую генерируют бёдра, колени и голени, проходит через стопу и большой палец, перемещая тело человека вперёд.
Длинный сгибатель большого пальца стопы играет значительную роль в направлении этой энергии. Кроме того, длинный сгибатель большого пальца стопы участвует в обеспечении динамической стабилизации медиального свода стопы. Вместе с другими мышцами, проходящими через предплюсневый канал и мышцами стопы длинный сгибатель большого пальца контролирует пронацию стопы при ходьбе, беге и прыжках. Длинный сгибатель большого пальца обеспечивает эффективное сцепление стопы с поверхностью и помогает нам эффективно сохранять баланс при ходьбе.
Проблемы с этой мышцей могут привести к уплощению медиального свода стопы и дестабилизации лодыжки, вследствие чего при ходьбе появляются болевые ощущения, потеря чувствительности и нарушения паттерна ходьбы.
Пальпация длинного сгибателя большого пальца стопы

Клиент лежит на животе
1. Стоя у стоп клиента, с помощью большого пальца определите месторасположение медиальной лодыжки.
2. Плавным скользящим движением переместите большой палец в пространство между лодыжкой и ахилловым сухожилием. (Осторожно: большеберцовая артерия и нерв тоже проходят в этой области. Переместите палец, если клиент ощущает покалывание и онемение, а также если вы ощущаете пульс).
3. В этой области располагаются три сухожилия. Пальпируйте сухожилие, расположенное наиболее
– это сухожилие длинного сгибателя большого пальца стопы.
4. Попросите клиента согнуть большой палец, чтобы убедиться, что вы всё сделали верно.
УПРАЖНЕНИЕ ДЛЯ КЛИЕНТОВ: РАСТЯЖКА ПАЛЬЦЕВ НОГ СИДЯ

1. Сядьте на пол, ноги расположите прямо перед собой.
2. Расслабив колени, согнитесь в талии и наклонитесь вперёд.
3. Возьмите большой палец стопы пальцами рук.
4. Аккуратно тяните большой палец назад по направлению к колену на протяжении 5-10 секунд, затем отпустите.
Данное упражнение можно проделать со всеми пальцами ног.
Повреждения сухожилия сгибателя большого пальца стопы распространённый вид травмы в таких группах риска как танцоры (прежде всего балета), гимнасты и скалолазы. Эти группы людей объединяет существенная перегрузка сгибателя большого пальца стопы при выполнении толчков и зацепов, стояния на пуантах. Вторым названием данной патологии является «тендинит танцора». В остальной популяции данные повреждения встречаются крайне редко. Так как сухожилие длинного сгибателя большого пальца проходит в фиброзно-костном канале позади внутренней лодыжки и голеностопного сустава, оно оказывается как бы перекинутым через задний отросток таранной кости, как верёвка перекинутая через блок.
При его хронической травматизации дегенеративные изменения приводят к его утолщению и уплотнению, вызывают его сдавление и ущемление. Может возникнуть так называемый задний импиджмент голеностопного сустава. В случае если в толще сухожилия возникают узелки, может появиться такой симптом как «триггерный палец», когда большой палец согнувшись «защёлкивается», и разогнуть его можно только через боль и приложив значительное усилие. При длительно текущем процессе возможно рубцовое сращение сухожилия со своим каналом, что приводит к псевдо-ригидной деформации первого плюсне-фалангового сустава.
Симптомы повреждения сухожилия длинного сгибателя большого пальца стопы.
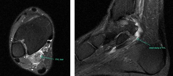
Прежде всего, это боль по задне-внутренней поверхности голеностопного сустава. Возможно «защёлкивание» большого пальца при его сгибании. Хруст, крепитация по задне-внутренней поверхности голеностопного сустава при активных движениях. При физикальном осмотре определяется боль при сгибании большого пальца через сопротивление, при форсированном подошвенном сгибании в голеностопном суставе, при этом боль отсутствует в области первого плюсне-фалангового сустава. Для диагностики повреждения сухожилия длинного сгибателя большого пальца стопы целесообразно выполнение МРТ, при этом обнаруживается скопление жидкости вокруг сухожилия на уровне голеностопного сустава, изменение сигнала от самого сухожилия.

Дифференциальная диагностика тендинита сухожилия длинного сгибателя большого пальца стопы проводится с тендинитами малоберцовых мышц, переломом заднего отростка таранной кости, заднюю таранно-пяточную коалицию, остеоид-остеому таранной и пяточной кости.
При разрывах сухожилия длинного сгибателя большого пальца помимо остро возникшей боли и отёка по задне-внутренней поверхности голеностопного сустава определяется выраженная слабость подошвенного сгибания большого пальца стопы.

Лечение повреждений длинного сгибателя большого пальца стопы.
При острых разрывах показано экстренное хирургическое восстановление целостности сухожилия в группе профессиональных спортсменов и танцоров. У простого обывателя хирургическое лечение рекомендовано только в случае повреждения сухожилий как короткого так и длинного сгибателей большого пальца стопы.
В случае тендинита сухожилия сгибателя большого пальца рекомендовано консервативное лечение - покой, холод местно, физиотерапия, стретч-упражнения. Помимо этого рекомендовано изменить подход к тренировкам, больше внимания уделять разминке и растяжке, ношение стелек и обуви с хорошей поддержкой свода стопы.
При неэффективности данных мер на протяжении 3 месяцев встаёт вопрос о хирургическом лечении. Выполняется релиз сухожилия, освобождение его от спаек, удаление дегенерировавших участков, синовэктомия. При выявлении добавочной треугольной кости целесообразно её удаление.
Техника операции при тендините длинного сгибателя большого пальца стопы.
Для хорошей визуализации рекомендуется использование жгута. Выполняется полукруглый разрез параллельно заднему краю внутренней лодыжки. Необходимо аккуратно выделить сосудисто-нервный пучок и взять его на держалку. Доступ к сухожильному каналу можно осуществить как спереди так и сзади по отношению к пучку. На этом этапе возможно выделение сухожилия, после его тщательного осмотра и пальпации, удаляются все узлы, спайки. При обнаружении треугольной кости необходимо её удалить.

Удаление треугольной кости значительно удлинняет период реабилитации. После изолированного тенолиза сухожилия длинного сгибателя большого пальца нагрузка весом и ходьба разрешаются непосредственно по мере стихания болевого синдрома. После удаления треугольной кости может потребовать до 8-12 недель ходьбы без нагрузки.
Длинный сгибатель пальцев
Длинный сгибатель стопы
Длинные сгибатели
пальцев
и стопы и точки напряжения
Слева: длинный сгибатель пальцев
Cправа; длинный сгибатель стопы
ДЛИННЫЕ СГИБАТЕЛИ совместно сгибают все пальцы ноги и стопу, помогая удерживать равновесие, когда вес тела переносится на переднюю часть стопы. Кроме того, они фиксируют лодыжки во время ходьбы, активизируются во время прыжков вверх.
Точки напряжения образуются при беге по неровной и мягкой поверхности и из-за плохой обуви, которая не обеспечивает достаточной поддержки стопе и лодыжке. Жесткая обувь также может стать причиной их возникновения. Так как обе мышцы проходят глубоко, их трудно нащупать.
Длинный сгибатель пальцев крепится одним концом позади большеберцовой кости, глубоко проходит под икроножной и одиночной мышцами по всей длине голени с задней стороны, пересекает таранную кость и крепится другими концами с нижней стороны стопы к каждому из четырех маленьких пальцев. Если точки напряжения присутствуют в сгибателе пальцев, боль возникает в подошве стопы и под пальцами.
Для того чтобы найти точки напряжения в этой мышце, сядьте на стул и поместите лодыжку больной ноги на колено другой ноги. Найдите острый выступ на передней стороне большеберцовой кости. Проведите по нему рукой по направлению к задней стороне голени. Сгибатель пальцев находится на расстоянии 8 см вниз от колена между большеберцовой костью и икроножной мышцей. Надавите на заднюю сторону кости, а затем на внешнюю сторону голени, чтобы найти чувствительные места.
Длинный сгибатель стопы крепится одним концом позади малоберцовой кости, проходит по задней стороне голени, пересекает таранную кость с внутренней стороны и крепится снизу стопы к большому пальцу. Если точки напряжения есть в сгибателе стопы, боль возникает в большом пальце и передней части стопы. Когда вы стоите на месте, боль становится сильнее. При жесткости этой мышцы развиваются заболевания пальцев.
Сгибатель стопы невозможно обнаружить напрямую. Чтобы его найти, нужно глубоко прощупать сквозь толстую одиночную мышцу, надавив большим пальцем на голень на расстоянии 2/3 вниз от коленного сустава. Сгибатель располагается там, в начале ахиллова сухожилия. Чтобы отыскать чувствительные места в нем, надавите по внешней стороне голени.
Растяжка очень важна для расслабления сгибателей пальцев и стопы.

Растяжка длинных сгибателей пальцев
Растяжка : сядьте на пол и вытяните ногу вперед. Возьмитесь рукой за пальцы ноги и потяните на себя. Расслабьте лодыжку, чтобы она тоже сгибалась во время растяжки. Сохраняйте это положение 15-20 секунд, повторяйте упражнение много раз в день для достижения полного расслабления.
Сухожилие длинного сгибателя большого пальца стопы (m. flexor hallucis longus) имеет длину около 10-12 см, и может использоваться для пластики больших дефектов ахиллова сухожилия. При транспозиции сухожилия также сохраняется нормальный баланс мышц, действующих на голеностопный сустав – т.е. имеет место перенос плантарного сгибателя к плантарному сгибателю. Однако, у спортсменов было отмечено снижение толчковой силы ввиду того, что имелись проблемы в области большого пальца стопы при спринтерском беге .
Впервые транспозицию сухожилия flexor hallucis longus выполнили Wapner и соавторы . Операцию авторы рекомендовали выполнять следующим образом. Пациент лежит на спине, на нижнюю треть бедра накладывают пневматический жгут. Выполняют продольный разрез по медиальному краю стопы от первой плюсневой кости до ладьевидной (Рисунок 93). Путем острой диссекции выходят на фасцию, покрывающую m. abductor hallucis. Крючком отводят m. abductor hallucis вместе с m. flexor hallucis brevis книзу и обнажают синовиальные влагалища сухожилий mm. flexor hallucis longus и flexor digitorum longus. Идентифицируют сухожилие m. flexor hallucis longus и выделяют его таким образом, чтобы после отсечения имелась возможность подшить дистальную культю сухожилия к сухожилию flexor digitorum longus. Пересекают сухожилие m. flexor hallucis longus и подшивают дистальную культю к той части сухожилия длинного сгибателя пальцев, которое идет идущему ко второму пальцу. При этом большой палец стопы должен находиться в нейтральном положении. Проксимальную культю сухожилия flexor digitorum longus прошивают прочной нитью.
Далее, в 1 см медиальнее ахиллова сухожилия выполняют постеромедиальный разрез от мышечно-сухожильного перехода икроножной мышцы и продлевают его до точки, располагающейся в 2-3 см ниже энтезиса. Избегая диссекции подкожно-жировой клетчатки, обнажают паратенон и вскрывают его. Выделяют сухожилие таким образом, чтобы сохранить сосудистые связи паратенона с подкожно-жировой клетчаткой и кожей. Выделив сухожилие, продольным разрезом вскрывают фасцию, отделяющую задний компартмент голени и выделяют сухожилие m. flexor hallucis longus, которое выводят в проксимальную рану. Непосредственно дистальнее энтезиса ахиллова сухожилия в пяточной кости просверливают канал на половину ширины кости в направлении от медиального к латеральному. Затем просверливают второй вертикальный канал, начинающийся непосредственно кпереди от ахиллова сухожилия. Разрабатывают канал в кости изогнутым инструментом и протаскивают через него за нить проксимальную культю сухожилия m. flexor digitorum longus. Затем культей сухожилия m. flexor digitorum longus зигзагообразно армируют ахиллово сухожилие, подшивая трансплантат узловыми швами из нити Dacron 1-0. По решению хирурга может быть выполнено дополнительное армирование сухожилием m. plantaris или низведенным полнослойным или неполнослойным лоскутом по Чернавскому. Ушивают паратенон рассасывающейся нитью, кожную рану закрывают традиционным образом. После операции конечность иммобилизируют укороченной лонгетой с подошвенным сгибанием стопы на 15 градусов.
Рисунок 93. Пластика сухожилиемm. flexor hallucis longus по Wapner и соавторам
Методика была применена авторами у семи пациентов, которых прослеживали в среднем в течение 17 месяцев. По субъективным опросникам отличные результаты были получены у трех пациентов, еще у трех – хорошие, и у одного пациента результат был расценен как плохой. У всех пациентов наблюдалось функционально незначимое ограничение амплитуды движений как в голеностопном суставе, так и первым пальцем стопы. Изокинетические тесты обнаружили снижение силы плантарной флексии на 29,5% по сравнению с контрлатеральной стороной. Не было отмечено вторичных функциональных нарушений, связанных с забором flexor hallucis longus. Эти результаты сходны с данными, полученными в 1977 году, когда Frenette и Jackson не обнаружили снижения функции у десяти молодых спортсменов, перенесших разрыв сухожилия flexor hallucis longus, четыре из которых не срослись.
M.W. Wong и V.W. Ng модифицировали методику транспозиции длинного сгибателя первого пальца стопы, фиксируя дистальную культю транспонируемого сухожилия наподобие сухожильного шва по Pulvertaft (Рисунок 94). Методика была применена авторами у 5 пожилых пациентов (средний возраст – 52-71 год) с застарелыми нелеченными разрывами ахиллова сухожилия с большим диастазом (5-7 см). Результаты были прослежены на протяжении 28,8 месяцев и позволили улучшить результаты с 64.4 до 94.4 баллов по шкале AOFAS. Исследование было неконтролируемым.

Рисунок 94. Транспозиция сухожилия длинного сгибателя первого пальца стопы по M.W. Wong и V.W. Ng
Преимущества транспозиции flexor hallucis longus включают в себя наличие длинного и прочного сухожилия и то, что мышца переносимого сухожилия гораздо сильнее других кандидатов для транспозиции , вектор flexor hallucis longus наиболее близок к ахиллову сухожилию, а его сокращение происходит в те же фазы ходьбы, когда сокращается икроножно-камбаловидный комплекс. Анатомическая близость делает операцию более простой, при этом нет необходимости вскрывать другие компартменты голени, а мышечные волокна обеспечивают дополнительную васкуляризацию проксимальной культе ахиллова сухожилия.
Нам удалось обнаружить одно биомеханическое исследование, в котором авторы in vitro сравнивали прочность на разрыв ахиллова сухожилия после пластики сухожилием peroneus brevis и flexor hallucis longus, которая оказалась равной 348,8±124.9Н и 241,5± 82,2Н соответственно . Однако, in vivo прочность может оказаться существенно иной, так что результаты этого исследования нельзя трактовать как неоспоримое преимущество пластики сухожилием peroneus brevis.
Подвижность стопы обеспечивают разные мышцы, в т. ч. и короткий разгибатель большого пальца стопы, а также другие короткие и длинные мускулы. Короткие мышцы не покидают область самой ступни и крепятся в ее пределах. Длинные мышцы имеют свое основание в области голени и крепятся к стопе. Благодаря коротким и длинным мышцам происходит разгибание как больших, так и остальных пальцев стопы. Стопа выполняет важнейшую амортизирующую и стабилизирующую функцию. Основными движениями, которые совершает стопа, являются сгибание и разгибание.
Анатомия стопы
Мышцы ступни по своему положению разделяются на тыльные (или дорсальные) и подошвенные. Кроме того, они могут быть латеральными и медиальными. Если через тело человека провести условную серединную линию, то те участки, которые находятся ближе к этой линии, называются медиальными. Участки, находящиеся ближе к наружному краю, получили название латеральные. Ступня человека может двигаться во многих направлениях. Выделяют такие виды движения конечности:
- сгибание/разгибание;
- отведение/приведение;
- пронация/супинация.
Фаланги пальцев на ногах также довольно подвижны. Это необходимо для выполнения стабилизирующей функции и удержания равновесия. Их подвижность обеспечивает короткий разгибатель пальцев и отдельная мышца, относящаяся к большому пальцу. Короткий разгибатель пальцев является довольно широкой и плоской мышцей, которая идет по всей наружной области ступни. Она крепится к пяточной кости, затем переходит к области фаланг, где разветвляется на 3 сухожилия. В верхней части эти сухожилия объединяются с сухожилием разгибателя большого пальца и крепятся к фалангам. Питание этой мышцы осуществляется за счет большеберцовой артерии, а иннервацию обеспечивает малоберцовый нерв.
С подошвенной стороны имеются свои мышцы, благодаря которым становится возможным движение фаланг и ступни в целом. К ним относят мышцы, которые отводят и сгибают фаланги на ногах, а также червеобразные и квадратная мышцы.
Длинные мышцы стоп
Мышцы, принимающие участие в сгибании и разгибании фаланг, могут быть также и длинными. Одним концом они крепятся к костям голени, а другим – к фалангам на ногах. Длинный сгибатель пальцев крепится к большеберцовой кости. Объединяясь с квадратной мышцей, длинный сгибатель делится на 4 сухожилия, которые крепятся непосредственно к фалангам. Из-за того, что длинный сгибатель пальцев крепится к четырем фалангам одновременно, становятся возможными не только сгибательные движения, но и движение в разные стороны.
Существует еще отдельная мышца, которая отвечает за сгибание больших пальцев на ноге. Длинный сгибатель большого пальца стопы одним концом крепится к нижнему участку малоберцовой кости, а другим концом – к основанию большого пальца. Длинный сгибатель большого пальца стопы – самая мощная мышца на задней стороне голени. Помимо обеспечения движения фаланги, она нужна для поддержания свода стопы. Также длинный сгибатель пальцев необходим и для того, чтобы сгибать вторую и третью фаланги, поскольку его сухожилие частично сопряжено с сухожилиями данных пальцев. Кроме сгибания и разгибания ступни, длинный сгибатель большого пальца также необходим для супинации и приведения.
За разгибание фаланг на ногах отвечают длинные мышцы. Длинный разгибатель пальцев располагается на внешнем боковом участке голени и крепится к кости, которая называется большеберцовой. Затем длинный разгибатель пальцев тянется вдоль голени и в ступне расходится на 5 ветвей, которые крепятся к фалангам с помощью сухожилий. Длинный разгибатель пальцев задействован не только при их разгибании, но и при разгибании конечности.

Длинный разгибатель большого пальца ноги
Длинный разгибатель большого пальца стопы берет свое начало внизу малоберцовой кости. Он крепится к основанию костей больших пальцев. Длинный разгибатель большого пальца необходим не только для движения его самого, но и для подвижности конечности.
Длинный разгибатель большого пальца также обеспечивает супинацию и круговые движения ступней.
Как укрепить стопы
Укрепление этих структур является важным для нашего здоровья. Существует такое понятие, как «ядро ног». В него входят мелкие мышцы, которые необходимы для стабилизации всего тела. Благодаря им смягчаются толчки при беге и ходьбе, и поддерживается устойчивое положение тела. Если же эти мышцы ослаблены, то вся нагрузка будет распределяться на подошвенной фасции, что чревато развитием подошвенного фасциита. Более того, слабый связочно-мышечный аппарат приводит к постепенному изменению походки, что может стать причиной проблем с коленями, тазобедренными суставами и даже с позвоночником.
Чтобы укрепить стопу, существуют простые упражнения, которые можно выполнять в домашних условиях.
| Комплекс | Выполнение |
| Упражнение №1. | Для этого упражнения вам понадобится полотенце. Захватите его пальцами стоп и протяните по комнате. Достигнув противоположной стены комнаты, стопами сформируйте из этого полотенца ком. Затем снова ухватитесь за ткань и перетащите его к другому концу комнаты. Проделайте это упражнение каждой стопой. |
| Упражнение №2. | Это упражнение выполняется сидя. Для его выполнения вам понадобятся мелкие предметы (например, стеклянные шарики, игральные кости, пуговицы). Захватывайте ступнями предмет из одной кучки и перенесите его в другую. Выполните то же самое и другой стопой. |
| Упражнение№3. | Упражнение поначалу можно выполнять сидя. Со временем оно выполняется стоя на одно ноге. Поставьте стопу на пол в обычное положение. Затем подтяните пальцы к себе, образовав сводом стопы дугу. |
| Упражнение№4. | Сядьте на пол, ноги вытянуты прямо перед собой. Напрягите ступню и выгните ее так, будто на нее надета обувь на высоком каблуке. Зафиксируйте ногу в таком напряженном положении и медленно разворачивайте стопу к себе. |
Положительный эффект от таких домашних упражнения наступает спустя 3–4 месяца. Главное – не длительность упражнений, а их регулярность. Спустя несколько месяцев мышцы ступней укрепятся, свод поднимется. Также улучшится кровообращение, увеличится чувствительность ступни, что чрезвычайно важно для выработки устойчивости.
Чаще ходите босиком по траве, по песку и гальке, предварительно убедившись в отсутствие посторонних предметов.
На здоровье ног необходимо обращать особое внимание. Усталость и тяжесть в ногах, возможно, являются первыми звоночками к тому, что с ногами не все в порядке. Чтобы предотвратить развитие многих неприятных заболеваний, необходимо придерживаться некоторых профилактических рекомендаций.
- Откажитесь от «неправильной» обуви. Начните с того, что выбросите домашние тапочки. Если босиком вам неудобно, то можете приобрести плотные спортивные носки. При выборе обуви для повседневной носки обращайте внимание на качество обуви и на производителя. Следите, чтобы в ней был довольно плотный (но не «деревянный» задник). Хорошо, если стельки в обуви со специальными супинаторами или вкладышами.
- Если у вас есть лишние килограммы, то от них придется избавиться. Дело в том, что лишний вес создает дополнительную и постоянную нагрузку на стопы, вследствие чего они как будто «расползаются» и проседают. Это может стать причиной развития плоскостопия.
- Для укрепления мышц голени и стоп используйте скакалку. Если у вас нет никаких противопоказаний, скакалка поможет не только сделать мышцы сильнее, но и повысит общую выносливость организма. Кроме того, при прыжках разрушаются бляшки на стенках сосудов, что имеет дополнительное положительное действие.
- Занимайтесь общим укреплением организма. Для этого подойдет закаливание, прием солнечных ванн и хождение по траве или песку босиком. Не забывайте также о приеме витаминных комплексов, особенно в осеннее-зимний период.
Сочетание простых упражнений и рекомендаций оказывает значительный положительный эффект на весь организм. Не пренебрегайте этими рекомендациями и помните, что регулярность и постоянность их выполнения являются залогом вашего здоровья.
